親バカ日記の最新に戻る
親バカ日記
〜 懐妊編 〜
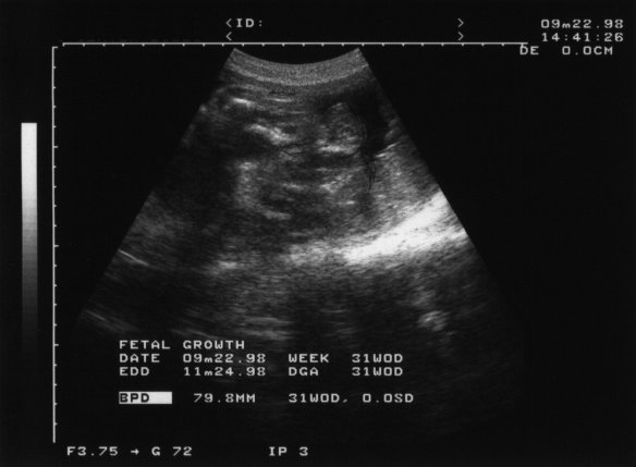
98年9月22日(妊娠31週1日)

やはり入りきらなくて何が写っているのか分らない.
奥さんからは「エコー好きやなぁ」と言われた. お腹の大きさ見てても良く分らないので,何が写っているのか分らなくても見てみたいって言うのが人情ってやつですよネェ〜.
どうも今回のエコーは,「○ん○ん」と「たまたま」が写っているらしい. そう. ほとんど男の子で間違いないらしい. 私は,1人目だから元気で生れてさえくれれば,どちらでも良かったんだけど,奥さんは喜んでいた. 私もなぜかホッとした.
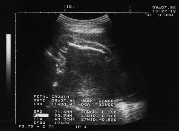
98年9月7日(妊娠29週0日)

「エコー」には入りきらないので,シロウトが見ても分らないらしい. 確かに何が写っているのか分らない. なんでも,大腿骨(いわゆるフトモモ)の長さを計っているそうな.
98年7月10日(妊娠20週4日)

ついに「エコー」には入りきらない体長まで成長してしまった. この頃の成長率(膨張率?)って,信じられない勢いだ.
しっかり頭も分るし,首の骨も写ってる. 心臓から出る動脈も形成されているそうな.(動画だったらもっと分りやすかったかも知れないけど,私もまだ見たことがない.)
98年6月5日(妊娠15週4日)

おぉ! 背骨が写ってる!! なんか魚の骨みたい.^o^
背骨の左下が頭だそうな. 言われて見ればそんな気もしないではないが...
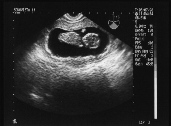
98年5月7日(妊娠11週3日)

この写真を初めて見たときは,とても感動した. 体長は約5cm. シロウト目に見ても,小さい手が写ってるのが分る!! なんと可愛い.^o^